Made with racontr.com
alt

On sait que l'IRM n'a aucun effet biologique, que l'échographie, dans la limite de son utilisation habituelle, ne présente pas de danger. En effet, le spécialiste déplace la sonde rapidement; ne reste pas longtemps sur un même organe à étudier. Il limite ainsi le risque d'exposition et d'augmentation de la température néfaste aux tissus. La scintigraphie, comme les exemples précédents, ne présente aucun risque non plus.

Les seuls problèmes que peuvent rencontrer le patients est une allergie aux produits utilisés pour l'examen ou des effets secondaires liés aux DMI (Dispositif Médical Implanté) qu'il possède.

Les DMI sont tels que des:

-pièces métalliques

-appareils électroniques (simulateurs cardiaque,neurosimulateurs)

-valves cardiaques

-dispositifs auditifs

Ceux-ci peuvent amnener à des lésions tissulaires liées à la rotation de l'objet ou un dysfonctionnement de l'appareil.

La présence de tatouages, de piercings ou d'un corps intraoculaires peut également engendrer des complications.







Les risques de l'IRM, de l'échographie et de la scintigraphie 

alt
alt
alt
alt
alt

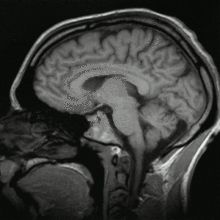
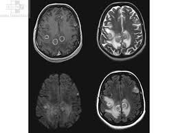
L'irm (imagerie par résonance magnétiques) est un examen qui permet d'étudier avec une grande précision de nombreux organes tels que le cerveau, la colonne vertébrale, les articulations et les tissus mous. Elle complète souvent une radigraphie car elle est beaucoup plus précise, permet de rendre visible des éléments qui ne pouvaient l'être avec une simple radio. Elle permet d'avoir des images en deux ou trois dimensions.

Elle utilise un champ magnétique et des ondes radio. Aucune radiation ionisante n'est émise.

On peut obtenir des images car l'Homme possède de nombreux atomes d'hydrogène.Placés dans un puissant champ magnétique, tous les atomes d'hydrogène s'orientent dans la même direction : ils sont alors excités par des ondes radio durant une très courte période . A l'arrêt de cette stimulation, les atomes restituent l'énergie accumulée en produisant un signal qui est enregistré et qui donne un image. 

 

alt
alt
alt